Bệnh viện A Thái Nguyên vừa phẫu thuật cấp cứu thành công cho một bệnh nhi 8 tháng tuổi bị tắc ruột, giúp trẻ vượt qua tình trạng nguy hiểm.
Theo gia đình, trước khi nhập viện khoảng 2 ngày, trẻ xuất hiện các triệu chứng quấy khóc từng cơn, nôn nhiều, bỏ bú, bụng chướng và không đi ngoài được. Khi tình trạng ngày càng nặng, gia đình đã đưa trẻ đến bệnh viện để thăm khám.
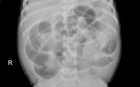
Tại Khoa Ngoại Tổng hợp, sau khi khám lâm sàng và thực hiện các xét nghiệm cần thiết, các bác sĩ xác định trẻ bị tắc ruột - một cấp cứu ngoại khoa có thể dẫn đến hoại tử ruột, nhiễm trùng ổ bụng và đe dọa tính mạng nếu không xử trí kịp thời.
Ngay lập tức, ekip bác sĩ đã tiến hành phẫu thuật cấp cứu kết hợp hồi sức tích cực. Sau quá trình điều trị và theo dõi sát sao, sức khỏe bệnh nhi tiến triển tốt. Sau mổ khoảng 10 giờ, trẻ đã đại tiện trở lại, bụng mềm, ăn bú tốt và đang tiếp tục được chăm sóc tại khoa, dự kiến xuất viện trong tuần.
Theo bác sĩ Nguyễn Thế Anh, tắc ruột ở trẻ nhỏ có thể biểu hiện qua các dấu hiệu như:
- Quấy khóc từng cơn, co chân lên bụng
- Nôn nhiều, đặc biệt nôn dịch xanh
- Bụng chướng
- Không đi ngoài hoặc đi ngoài phân nhầy máu
Bác sĩ khuyến cáo khi trẻ có những dấu hiệu trên, phụ huynh cần đưa trẻ đến cơ sở y tế sớm để được thăm khám và xử trí kịp thời, tránh nguy cơ biến chứng nguy hiểm. Việc phát hiện sớm và điều trị đúng thời điểm đóng vai trò quan trọng trong hiệu quả điều trị.











