Những ngày đầu tháng 11, Trung tâm Y tế khu vực Hạ Hòa liên tục tiếp nhận bệnh nhân chảy máu não liên quan đến tăng huyết áp, trong đó phần lớn đến trong tình trạng nguy hiểm, diễn tiến nhanh và cần can thiệp ngay để tránh tử vong.
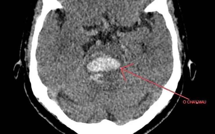
Trường hợp người bệnh Đ.T.X., 63 tuổi, nhập viện với huyết áp 170/90 mmHg, được chỉ định chụp CT và phát hiện ổ chảy máu trong não. Một trường hợp khác, bệnh nhân V.Đ.T., 69 tuổi, vào viện với huyết áp 210/100 mmHg, cũng cho thấy hình ảnh chảy máu não trên phim chụp. Các bác sĩ cho biết đây đều là những ca điển hình của biến chứng nguy hiểm khi tăng huyết áp không được kiểm soát.
Theo các bác sĩ, chảy máu não là một trong những biến chứng nặng nề nhất của tăng huyết áp, thường xảy ra đột ngột và có thể gây liệt, hôn mê hoặc tử vong. Nguy cơ tăng cao ở những người bỏ thuốc điều trị, ăn mặn, thường xuyên căng thẳng hoặc thay đổi thời tiết đột ngột.
Để phòng ngừa, việc kiểm soát huyết áp mỗi ngày là yếu tố quan trọng nhất. Người bệnh cần duy trì thói quen đo huyết áp định kỳ, tuân thủ thuốc theo hướng dẫn của bác sĩ, hạn chế muối và chất béo động vật trong bữa ăn, giữ tinh thần ổn định và chủ động khám sức khỏe để theo dõi nguy cơ. Các chuyên gia nhấn mạnh rằng duy trì huyết áp ổn định chính là chìa khóa giúp giảm nguy cơ đột quỵ và bảo vệ sức khỏe lâu dài.
Trung tâm Y tế khu vực Hạ Hòa luôn trực cấp cứu 24/24, sẵn sàng tiếp nhận và điều trị các trường hợp chảy máu não, đặc biệt là bệnh nhân tăng huyết áp có dấu hiệu bất thường như đau đầu dữ dội, yếu liệt, méo miệng hoặc rối loạn ý thức. Việc đến viện sớm giúp tăng cơ hội cứu sống và giảm di chứng cho người bệnh.












