Nhiễm khuẩn huyết, nguy kịch vì viên sỏi 19mm kẹt cổ túi mật
Bà H.T.C. (82 tuổi) nhập viện cấp cứu trong tình trạng nguy kịch: đau bụng dữ dội vùng hạ sườn phải, sốt cao liên tục 40 độ C, 3 ngày trước đó bà nôn nhiều dịch vàng kèm thức ăn, người mệt mỏi, suy kiệt sức khỏe nghiêm trọng.
Ngay khi tiếp nhận, ekip bác sĩ BVĐK Hồng Ngọc lập tức kích hoạt quy trình cấp cứu, khẩn trương hồi sức cho người bệnh, cho thở oxy và theo dõi sát từng diễn biến sinh tồn. Song song đó, các thăm dò cận lâm sàng được triển khai gấp rút nhằm nhanh chóng xác định nguyên nhân và đưa ra hướng xử trí kịp thời.
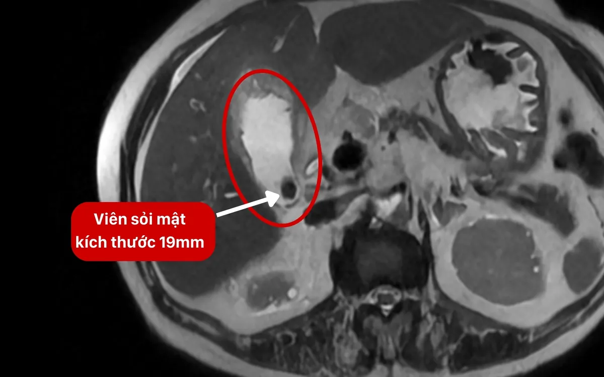
Kết quả kiểm tra cho thấy các chỉ số viêm và nhiễm khuẩn đặc hiệu tăng vọt ở mức báo động, trong đó CRP tăng gấp 73 lần và PCT tăng tới 927 lần so với bình thường. Hình ảnh chẩn đoán ghi nhận túi mật giãn lớn, thành dày khoảng 1cm; ở cổ túi mật có viên sỏi kích thước 19mm kẹt chặt, kèm theo tình trạng thâm nhiễm và tụ dịch lan rộng quanh túi mật, lan tới khoang gan – thận.

Hình ảnh viên sỏi kích thước 19mm kẹt ở cổ túi mật
"Người bệnh được chẩn đoán viêm túi mật hoại tử do sỏi, đã xuất hiện biến chứng nhiễm khuẩn huyết và tình trạng dịch mật tràn vào ổ bụng. Nguyên nhân chính là viên sỏi lớn kẹt tại cổ túi mật gây tắc mật, khiến viêm nhiễm tiến triển nhanh và đe dọa trực tiếp đến sức khỏe, buộc phải can thiệp kịp thời." - TS.BS Đỗ Tuấn Anh - Khoa Ngoại Tiêu hóa - BVĐK Hồng Ngọc, bác sĩ trực tiếp phẫu thuật cho bệnh nhân chia sẻ.
Ngoài ra, tại thời điểm nhập viện, bệnh nhân có tiền sử đái tháo đường type 2 và tăng huyết áp mạn tính, làm tăng mức độ phức tạp trong kiểm soát toàn trạng.
Phối hợp đa chuyên khoa đưa người bệnh qua cơn nguy kịch
Đánh giá đây là ca bệnh nặng, nguy cơ tử vong cao, BVĐK Hồng Ngọc lập tức tổ chức hội chẩn liên chuyên khoa, huy động ekip Cấp cứu, Hồi sức tích cực (ICU), Chẩn đoán hình ảnh & Điện quang can thiệp, Gây mê hồi sức và Ngoại Tiêu hóa tham gia điều trị, đưa người bệnh qua cơn nguy kịch.
Nhằm kiểm soát nhanh ổ nhiễm trùng và ổn định thể trạng, ê kíp Điện quang can thiệp đã thực hiện chọc hút, dẫn lưu túi mật dưới hướng dẫn siêu âm. Trong quá trình can thiệp, các bác sĩ đã dẫn lưu khoảng 170ml dịch mật bẩn, sẫm màu, mùi hôi, qua đó bước đầu kiểm soát ổ nhiễm trùng và đưa người bệnh qua giai đoạn nguy kịch.
Sau can thiệp dẫn lưu, bệnh nhân tiếp tục được theo dõi và điều trị hồi sức tích cực tại ICU nhằm kiểm soát nhiễm trùng, ổn định đường huyết và huyết áp. Sau 3 ngày điều trị tích cực, các chỉ số viêm nhiễm giảm rõ rệt, tình trạng toàn thân ổn định, bệnh nhân đủ điều kiện để phẫu thuật nội soi cắt túi mật.

Bệnh nhân C được điều trị hồi sức tích cực tại khoa ICU
"Với bệnh nhân cao tuổi, thể trạng yếu và nhiều bệnh lý nền, phẫu thuật nội soi cắt túi mật là phương án phù hợp nhất vì ít xâm lấn, giảm đau sau mổ, rút ngắn thời gian hồi phục và hạn chế nguy cơ biến chứng so với mổ mở" - TS.BS Đỗ Tuấn Anh chia sẻ.
Quá trình phẫu thuật nội soi, thông qua 3 đường tiếp cận nhỏ, ekip bác sĩ phẫu thuật đã thành công cắt bỏ túi mật hoại tử, giải phóng an toàn đáy túi mật khỏi giường túi mật, đồng thời đặt dẫn lưu ổ bụng để loại bỏ toàn bộ dịch mủ và máu ứ đọng, ngăn ngừa nguy cơ nhiễm trùng lan rộng.

TS.BS Đỗ Tuấn Anh và ê-kíp thực hiện phẫu thuật nội soi cắt túi mật
Hậu phẫu, bệnh nhân tiếp tục được theo dõi chặt chẽ 24/7 tại Khoa Hồi sức Tích Cực. Sau 2 ngày phẫu thuật, bệnh nhân phục hồi tốt, có thể ăn uống, đi lại nhẹ nhàng và được xuất viện sau 5 ngày.
"Rất đông bác sĩ tập trung thăm khám, cứu chữa cho tôi. Nhờ sự tận tâm ấy mà giờ sức khỏe tôi cải thiện rõ rệt, ăn ngon miệng hơn, ngủ ngon hơn, người cũng nhẹ nhõm, thoải mái hơn" - Bà C xúc động chia sẻ vào ngày ra viện.
Theo TS.BS Đỗ Tuấn Anh, sỏi mật thường diễn tiến âm thầm, chỉ đến khi sỏi lớn hoặc gây tắc mật người bệnh mới xuất hiện đau hạ sườn phải, sốt cao, buồn nôn, nôn nhiều. Vì vậy, người đã được chẩn đoán có sỏi mật cần thăm khám định kỳ và khi xuất hiện cơn đau phải can thiệp sớm, tránh để bệnh kéo dài, dẫn đến biến chứng nặng nề như trường hợp bà C.
Tại Bệnh viện Đa khoa Hồng Ngọc, người bệnh sỏi mật có thể yên tâm thăm khám và theo dõi định kỳ cùng TS.BS Đỗ Tuấn Anh và đội ngũ chuyên gia Ngoại Tiêu hóa giàu kinh nghiệm. Thông qua thiết bị hiện đại, bác sĩ đánh giá chính xác tình trạng bệnh, chỉ can thiệp khi thật sự cần thiết, bảo đảm an toàn và hiệu quả điều trị. Bên cạnh đó, bệnh viện áp dụng đầy đủ bảo hiểm y tế và bảo hiểm bảo lãnh, giúp người bệnh an tâm điều trị và tối ưu chi phí.
>> Liên hệ Hotline để được tư vấn chi tiết: 0949 646 556










