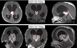
u vùng não thất
CƠ QUAN CHỦ QUẢN: ĐÀI TRUYỀN HÌNH VIỆT NAM
CƠ QUAN BÁO CHÍ: THỜI BÁO VTV
Giấy phép hoạt động báo in và báo điện tử số 483/GP-BTTTT cấp ngày 29/12/2023
® Cấm sao chép dưới mọi hình thức nếu không có sự chấp thuận bằng văn bản. Ghi rõ nguồn VTV.vn khi phát hành lại thông tin từ website này.
Tổng Biên tập: VŨ THANH THỦY
Phó Tổng Biên tập: NGUYỄN THỊ MỸ HẠNH, PHẠM QUỐC THẮNG, NGUYỄN TRỌNG NINH
Tổng đài VTV: (024) 3.8355931; (024)3.8355932
Điện thoại Thời báo VTV: (024) 66897 897
Email: toasoan@vtv.vn
Liên hệ quảng cáo: 0912.698.677