Khoa Ngoại Thần kinh cho biết đã tiếp nhận bệnh nhi T.G.K. (7 tháng tuổi, Đồng Tháp) với biểu hiện đầu to dần, nôn sau bú, mắt nhìn xuống. Thăm khám ghi nhận dấu hiệu tăng áp lực nội sọ, siêu âm phát hiện khối u vùng não thất III gây giãn não thất nặng.
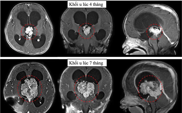
Kết quả chụp cộng hưởng từ xác định khối u nằm sâu trong não, chèn ép gây não úng thủy tắc nghẽn. Giải phẫu bệnh cho thấy đây là u đám rối mạch mạc không điển hình độ 2 - một dạng u hiếm gặp của hệ thần kinh trung ương.
Do nguy cơ phẫu thuật cao ở trẻ nhỏ, ekip đã đặt dẫn lưu não thất - ổ bụng tạm thời để giảm áp lực nội sọ. Tuy nhiên, sau 3 tháng, khối u phát triển nhanh, tăng kích thước hơn 3 lần, buộc phải can thiệp phẫu thuật.
Ca mổ được tiến hành với sự phối hợp của nhiều chuyên khoa. Sau 6 giờ, khối u kích thước khoảng 6 cm đã được bóc tách thành công. Đây là ca mổ đặc biệt khó do vị trí u nằm sâu, gần nhiều cấu trúc thần kinh và mạch máu quan trọng, đồng thời nguy cơ mất máu cao ở bệnh nhi nhỏ tuổi.
Sau phẫu thuật, trẻ được hồi sức tích cực và phục hồi tốt, xuất viện sau 10 ngày.
Theo các bác sĩ, trường hợp này cho thấy vai trò quan trọng của việc phát hiện sớm các dấu hiệu bất thường như đầu to nhanh, nôn kéo dài, thay đổi vận nhãn ở trẻ nhỏ. Việc theo dõi và can thiệp kịp thời có thể giúp cải thiện tiên lượng và cứu sống người bệnh.








