Ổ áp xe chiếm gần trọn gan phải khiến bệnh nhân sốc nhiễm khuẩn
Ông T.V.H. (60 tuổi), có tiền sử tăng huyết áp và đái tháo đường nhiều năm, được đưa đến cấp cứu tại BVĐK Hồng Ngọc trong tình trạng sốt cao 40°C, rét run, đau đầu, mệt mỏi, chán ăn, cơ thể suy kiệt.
Ngay khi nhập viện, bệnh nhân được hồi sức cấp cứu tích cực, đồng thời được chỉ định thực hiện các xét nghiệm và chẩn đoán cần thiết để xác định nguyên nhân.
Kết quả xét nghiệm máu cho thấy, chỉ số CRP đánh giá mức độ nhiễm khuẩn tăng gấp 65 lần bình thường; chỉ số PCT - dấu ấn quan trọng trong chẩn đoán nhiễm khuẩn huyết - cao gấp hơn 1000 lần ngưỡng bình thường; bạch cầu trung tính cũng tăng rất cao. Đồng thời, các chỉ số đánh giá chức năng tim, gan, mật, tụy đều ở mức báo động.
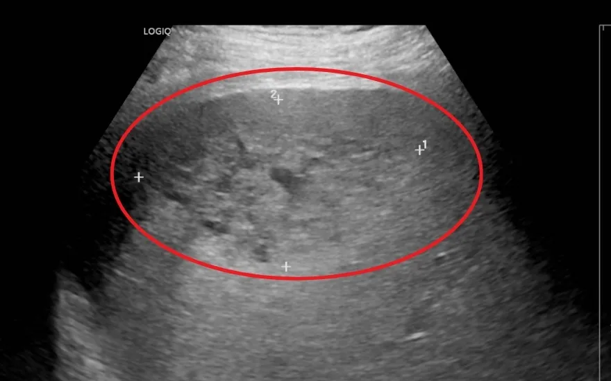
Kết quả siêu âm ổ bụng cho thấy gan của bệnh nhân to bất thường, đặc biệt tại thùy gan phải xuất hiện vùng tổn thương lớn sát bao gan, gồm hai tổn thương chính với kích thước lần lượt là 52×88 mm và 25×32 mm, kèm thâm nhiễm rộng xung quanh. Ngoài ra, bệnh nhân còn có tình trạng dịch ổ bụng và dịch màng phổi.

Ổ áp xe chiếm gần trọn gan phải đẩy người bệnh vào cơn nguy kịch
Bệnh nhân H. được chẩn đoán nhiễm khuẩn huyết nặng do ổ áp xe gan lớn, diễn tiến đến sốc nhiễm khuẩn và suy đa cơ quan, một tình trạng đặc biệt nguy kịch.
"Ổ áp xe có kích thước rất lớn, gần như chiếm toàn bộ gan phải, trong khi ranh giới bên ngoài của khối áp xe nằm sát vỏ gan nên nguy cơ chảy máu hoặc vỡ ổ áp xe là rất cao. Đặc biệt, tại thời điểm cấp cứu, tình trạng viêm từ ổ áp xe đã lan thấm ra ngoài, gây tràn dịch màng bụng và tràn dịch màng phổi, khiến diễn biến bệnh trở nên hết sức nghiêm trọng," - PGS.TS.BS Nguyễn Cảnh Bình, Trưởng khoa Tiêu hóa, BVĐK Hồng Ngọc – bác sĩ trực tiếp điều trị cho bệnh nhân H. cho biết.
3 lần can thiệp chọc hút, kiểm soát hoàn toàn ổ áp xe gan, đưa người bệnh thoát nguy kịch
Trước diễn biến nguy kịch, ekip BVĐK Hồng Ngọc khẩn trương hồi sức tích cực: đặt catheter tĩnh mạch trung tâm, thở oxy, truyền khối tiểu cầu, theo dõi huyết động liên tục và dùng kháng sinh liều cao; đồng thời chụp CT ổ bụng để đánh giá tổn thương, sẵn sàng can thiệp khi đủ điều kiện.
Sau 5 ngày điều trị tại Khoa Hồi sức tích cực, tình trạng nhiễm trùng cải thiện rõ rệt, các chức năng gan, thận và đường huyết được kiểm soát, bệnh nhân đủ điều kiện chọc hút ổ áp xe gan dưới hướng dẫn siêu âm.

Bệnh nhân được chăm sóc, điều trị tích cực tại khoa ICU
Tuy nhiên, theo PGS.TS.BS Nguyễn Cảnh Bình, việc can thiệp trong trường hợp này vẫn cần được tính toán cẩn trọng: "Việc chọc hút phải được thực hiện rất thận trọng để đường đi của kim không đi qua các mạch máu lớn, túi mật hay các tạng rỗng, đồng thời đảm bảo đi qua tối đa vùng gan lành. Bên cạnh đó, ổ áp xe có kích thước lớn và nằm sát bao gan nên tiềm ẩn nguy cơ chảy máu khi can thiệp".
Ở lần can thiệp thứ nhất, bác sĩ hút ra khoảng 70ml dịch mủ đục màu nâu nhạt từ hai khoang dịch. Kết quả cấy vi sinh xác định tác nhân gây bệnh là vi khuẩn Klebsiella pneumoniae. Trên cơ sở này, bác sĩ đã điều chỉnh phác đồ kháng sinh nhằm tối ưu hiệu quả điều trị.

Dịch mủ được hút ra ở lần can thiệp đầu tiên
Sau can thiệp, tình trạng nhiễm trùng cải thiện rõ rệt, PCT giảm nhanh còn 4,05 ng/ml, chức năng gan dần ổn định; bệnh nhân tỉnh táo, có thể vận động nhẹ.
Ba ngày sau, bác sĩ chọc hút lần hai, lấy 45ml dịch mủ, làm sạch hai khoang ổ áp xe. Các chỉ số viêm gần như trở về bình thường, tình trạng nhiễm khuẩn được kiểm soát tốt, bệnh nhân được xuất viện và theo dõi tại nhà.

Ê-kíp bác sĩ tiến hành chọc hút ổ áp xe gan lần thứ hai
Một tuần sau khi ra viện và tái khám, bệnh nhân tiếp tục thực hiện can thiệp chọc hút lần ba và hút ra 115ml dịch mủ còn tồn dư, làm sạch hoàn toàn ổ áp xe.
Sau 3 lần can thiệp, ổ áp xe gan được kiểm soát hoàn toàn. Bệnh nhân phục hồi tốt, có thể ăn uống, sinh hoạt bình thường. Kết quả tái khám sau 1 tháng không ghi nhận dấu hiệu nhiễm trùng hay biến chứng.

Bệnh nhân phục hồi tốt, tinh thần lạc quan sau điều trị
"Từ sau lần hút thứ hai là cơ thể đã thấy nhẹ nhõm, tôi về nhà sinh hoạt gần như bình thường. Hôm qua chọc hút lần ba xong thì cảm thấy rất nhẹ nhàng, không còn mệt mỏi, các chỉ số đều tốt, ăn uống và đi lại thoải mái. Sức khỏe được như bây giờ, tôi thật sự rất cảm ơn và biết ơn PGS Cảnh Bình cùng các bác sĩ Bệnh viện Hồng Ngọc" - Bệnh nhân H. chia sẻ sau quá trình điều trị.
Áp xe gan là bệnh lý nguy hiểm với diễn tiến nhanh, có thể rất đến biến chứng nhiễm khuẩn huyết, sốc nhiễm khuẩn hoặc vỡ ổ áp xe, đe dọa trực tiếp đến tính mạng. Do đó, khi có các dấu hiệu bất thường như sốt cao kéo dài, đau tức vùng dưới sườn phải, vàng da, chán ăn,... người dân cần đến cơ sở y tế uy tín để được chẩn đoán chính xác và điều trị kịp thời.
Hoặc liên hệ đến hotline 0911 908 856 để được tư vấn nhanh chóng.







