Hình minh họa.
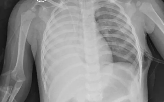
Bệnh nhân P.P.H. (16 tuổi), trước đó hoàn toàn khỏe mạnh, nhập viện trong tình trạng đau tức ngực trái dữ dội, khó thở tăng nhanh, đau lan lên vai và cánh tay trái, kèm ho khan. Khám lâm sàng cho thấy nhịp thở nhanh, mạch nhanh, phổi trái thông khí giảm rõ, gõ vang và rung thanh giảm - những dấu hiệu điển hình của tràn khí màng phổi.
Ngay sau khi xác định chẩn đoán, ekip cấp cứu đã nhanh chóng thực hiện dẫn lưu khoang màng phổi và kết nối hệ thống hút áp lực âm liên tục. Đây là thủ thuật có ý nghĩa sống còn, giúp giải phóng lượng khí tích tụ, tái lập áp lực âm sinh lý, làm phổi nở trở lại và giảm chèn ép lên tim, trung thất.
Sau can thiệp, tình trạng bệnh nhân cải thiện rõ rệt, giảm nhanh cảm giác đau tức ngực và khó thở. Trong những ngày tiếp theo, các bác sĩ tiếp tục theo dõi sát tình trạng dẫn lưu khí, đánh giá hình ảnh X-quang và cắt lớp vi tính để điều chỉnh chiến lược điều trị.
Dù khí vẫn tiếp tục thoát ra trong nhiều ngày đầu, cho thấy còn rò khí, phổi vẫn nở dần theo diễn tiến điều trị. Đến ngày thứ 11, tình trạng rò khí chấm dứt hoàn toàn, phổi nở tốt và không còn khí trong khoang màng phổi. Bệnh nhân được rút ống dẫn lưu an toàn và xuất viện sau 12 ngày điều trị.
Theo bác sĩ điều trị, kén khí phổi là tình trạng có thể âm thầm kéo dài mà không có triệu chứng rõ ràng. Tuy nhiên, khi kén khí vỡ đột ngột, người bệnh có thể xuất hiện tràn khí màng phổi cấp tính, gây suy hô hấp, xẹp phổi và đe dọa tính mạng nếu không được cấp cứu kịp thời.
Các chuyên gia khuyến cáo, khi trẻ có biểu hiện đau ngực đột ngột, khó thở, thở nhanh, hụt hơi hoặc ho khan kéo dài không rõ nguyên nhân, cần đưa đến cơ sở y tế ngay. Đặc biệt, nhóm trẻ gầy, cao, trong độ tuổi dậy thì là đối tượng có nguy cơ cao mắc tràn khí màng phổi tự phát, cần được theo dõi và tầm soát sớm khi có dấu hiệu nghi ngờ.







