Thận móng ngựa là dị dạng giải phẫu hiếm gặp, ảnh hưởng đến vị trí, hình dạng và đường bài xuất nước tiểu, khiến bệnh lý sỏi dễ hình thành và khó xử trí hơn so với người bình thường. Việc điều trị sỏi ở người bệnh này đặt ra nhiều thách thức: đường bài xuất sỏi bất thường, nguy cơ tổn thương mạch máu và nhu mô thận cao hơn, đồng thời hạn chế việc tiếp cận bằng phương pháp thông thường như nội soi ngược dòng.
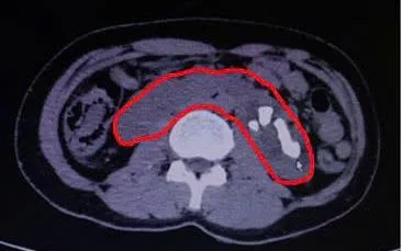
Người bệnh P.T.L., (42 tuổi) nhập Bệnh viện Việt Nam - Thụy Điển Uông Bí (Quảng Ninh) trong tình trạng đau quặn vùng mạn sườn trái, đau lan xuống vùng bụng dưới. Qua thăm khám, siêu âm và CT Scanner, các bác sĩ phát hiện người bệnh có dị dạng thận móng ngựa - một dị dạng bẩm sinh khiến hai thận dính nhau ở cực dưới tạo hình "móng ngựa" kèm theo sỏi thận lớn.
Trước tình hình đó, kíp phẫu thuật đã tiến hành thực hiện kỹ thuật tán sỏi qua da - một phương pháp ít xâm lấn, an toàn và hiệu quả
Ca can thiệp được thực hiện dưới sự hỗ trợ của siêu âm và C-arm. Sau gần 2 giờ, toàn bộ sỏi thận đã được tán vụn và loại bỏ hoàn toàn, không còn cản quang trên hình ảnh kiểm tra sau phẫu thuật. Người bệnh hồi phục nhanh, hết đau quặn, chức năng thận ổn định.










