Bệnh viện Nội tiết tỉnh Lào Cai vừa phát hiện một trường hợp nghi di căn phổi sau phẫu thuật ung thư tuyến giáp gần 7 năm, dù bệnh nhân hoàn toàn không có triệu chứng hô hấp.
Theo các bác sĩ, sau khi được cắt toàn bộ tuyến giáp, bệnh nhân cho rằng bệnh đã khỏi nên dần chủ quan trong việc theo dõi sức khỏe. Đáng chú ý, trong suốt thời gian này người bệnh không ho, không tức ngực, không khó thở, sinh hoạt và làm việc bình thường.
Bệnh chỉ được phát hiện khi bệnh nhân thực hiện xét nghiệm Thyroglobulin (Tg) - chỉ số quan trọng trong theo dõi sau điều trị ung thư tuyến giáp. Kết quả cho thấy Tg tăng cao bất thường.
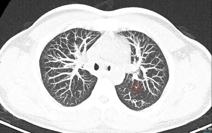
Ngay sau đó, bệnh nhân được chỉ định chụp cắt lớp vi tính (CT) ngực, qua đó phát hiện nhiều nốt tại phổi nghi ngờ tổn thương di căn xa.
Theo các chuyên gia, ung thư tuyến giáp thường có tiên lượng tốt, nhưng các tế bào ung thư có thể tiến triển chậm và tồn tại dai dẳng, nguy cơ tái phát vẫn có thể xuất hiện sau nhiều năm.
Theo phân tầng nguy cơ của Hiệp hội Tuyến giáp Hoa Kỳ, tỷ lệ tái phát sau điều trị có thể dưới 5% ở nhóm nguy cơ thấp, 10-30% ở nhóm nguy cơ trung bình và trên 30% ở nhóm nguy cơ cao. Bệnh có thể tái phát tại vùng cổ hoặc di căn xa đến phổi, xương.
Đáng lưu ý, nhiều trường hợp tái phát hoặc di căn diễn ra âm thầm, chưa xuất hiện triệu chứng rõ ràng nên dễ bị bỏ sót nếu người bệnh không tái khám định kỳ.
Các bác sĩ khuyến cáo, người bệnh sau điều trị ung thư tuyến giáp cần tuân thủ lịch tái khám lâu dài, kết hợp nhiều phương pháp theo dõi như xét nghiệm Thyroglobulin (Tg), Anti-Tg, siêu âm vùng cổ và chụp CT khi cần thiết.
Việc phát hiện sớm dấu hiệu tái phát giúp tăng hiệu quả điều trị và kiểm soát bệnh, hạn chế nguy cơ tiến triển nặng.








