Bệnh nhi P.T.T.P. (13 tuổi, Hà Nội) được đưa đến Bệnh viện Phổi Trung ương trong tình trạng ho sặc sụa, khó thở, tức ngực sau khi hít phải chiếc đinh ghim dài 2,5 cm khi đang ngậm trong miệng lúc xem điện thoại.
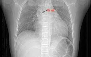
Trước đó, trẻ được khám tại bệnh viện tuyến dưới, xác định dị vật nằm sâu trong phế quản trung gian bên phải. Do dị vật sắc nhọn đâm xuyên thành phế quản, gây chảy máu và phù nề, nên việc gắp gặp nhiều khó khăn. Sau khi thủ thuật thất bại, bệnh nhi được chuyển khẩn cấp lên tuyến trung ương.
Tại đây, ThS.BSCKII Nguyễn Lê Nhật Minh - Trưởng khoa Nội soi chẩn đoán và can thiệp, cùng ekip đã nội soi phế quản, cẩn trọng gỡ phần đầu đinh cắm vào thành phế quản rồi gắp ra ngoài thành công sau 15 phút. Sau thủ thuật, bệnh nhi giảm ho, đỡ khó thở, song vẫn được theo dõi do có tràn khí trung thất nhẹ.
Theo bác sĩ Minh, trẻ em trong độ tuổi 5-15 rất hay ngậm vật nhỏ như bút, ghim, nắp bút, đồng xu... Khi cười, nói hoặc hít mạnh, dị vật dễ lọt vào đường thở, gây tắc nghẽn, chảy máu, thậm chí suy hô hấp cấp.
Các bác sĩ khuyến cáo: Không để trẻ chơi hoặc ngậm vật nhỏ, sắc nhọn. Hướng dẫn trẻ nhận biết nguy hiểm khi đưa đồ vật vào miệng.
Khi trẻ ho sặc, khó thở đột ngột, cần đưa ngay đến cơ sở y tế chuyên khoa hô hấp, tránh tự xử lý tại nhà.












