Khoa Ngoại Thần kinh, Bệnh viện Đa khoa tỉnh Quảng Trị vừa tiếp nhận bệnh nhân nam, 66 tuổi, nhập viện trong tình trạng chấn thương sọ não kín, tri giác giảm sâu, hôn mê, yếu tay chân và mất thăng bằng khi vận động.
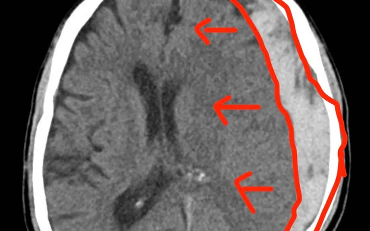
Kết quả chẩn đoán hình ảnh cho thấy bệnh nhân bị tụ máu dưới màng cứng cấp tính gây chèn ép não nặng. Đây là tình trạng cấp cứu ngoại khoa, có nguy cơ tử vong cao nếu không được can thiệp kịp thời.
Ngay sau hội chẩn khẩn, ekip Khoa Ngoại Thần kinh đã tiến hành phẫu thuật mở sọ giải áp, lấy máu tụ nhằm giảm áp lực nội sọ, bảo tồn chức năng não cho người bệnh. Ca phẫu thuật được thực hiện khẩn trương, đúng chỉ định, trong bối cảnh bệnh nhân ở tình trạng nguy kịch.
Sau phẫu thuật, bệnh nhân tiếp tục được theo dõi và điều trị tích cực tại Khoa Hồi sức tích cực - Chống độc. Nhờ chăm sóc hậu phẫu sát sao, tình trạng người bệnh cải thiện rõ rệt: tri giác phục hồi dần, vận động tay chân tiến triển tốt, các chỉ số sinh tồn ổn định.
Đến ngày thứ 14 sau phẫu thuật, bệnh nhân tỉnh táo, giao tiếp tốt, sức khỏe ổn định và được hướng dẫn tiếp tục phục hồi chức năng nhằm sớm trở lại sinh hoạt bình thường.












