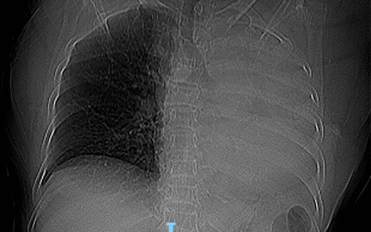
Khoa Cấp cứu - Bệnh viện Đa khoa khu vực Quảng Nam (Đà Nẵng) tiếp nhận một bệnh nhân nhập viện trong tình trạng ho nhiều đột ngột, kèm khó thở sau khi uống thuốc. Trên phim X-quang ngực, các bác sĩ ghi nhận hình ảnh mờ đậm toàn bộ trường phổi trái, nghi ngờ tổn thương nặng ở đường thở.
Ngay sau đó, người bệnh được chỉ định chụp CT ngực. Kết quả cho thấy xẹp hoàn toàn phổi trái do khối nằm trong lòng phế quản gốc trái, ban đầu đặt ra nghi vấn u phế quản hoặc dị vật đường thở. Với diễn tiến khởi phát đột ngột, các bác sĩ nghĩ nhiều đến khả năng dị vật và nhanh chóng hội chẩn chuyên môn.
Bệnh nhân được chỉ định nội soi phế quản cấp cứu. Quá trình nội soi phát hiện dị vật lấp kín hoàn toàn phế quản gốc trái. Dị vật có tính chất mềm, dễ vỡ, tiềm ẩn nguy cơ rơi xuống các nhánh phế quản nhỏ nếu thao tác không cẩn trọng. Nhờ sử dụng các thiết bị nội soi chuyên dụng và sự phối hợp chặt chẽ của ekip, dị vật đã được lấy ra an toàn. Dị vật có dạng tròn, mềm, màu vàng, kích thước khoảng 10x10mm, nghi là viên thuốc. Khai thác tiền sử cho thấy người bệnh từng bị sặc khi uống thuốc trước đó.
Theo BSCKI. Nguyễn Hữu Trung, dị vật đường thở không chỉ gặp ở trẻ em mà còn có thể xảy ra ở người lớn, đặc biệt khi uống thuốc vội vàng, tư thế không phù hợp hoặc có rối loạn nuốt. Dị vật có thể gây tắc nghẽn đường thở, xẹp phổi, suy hô hấp và đe dọa tính mạng nếu không được xử trí kịp thời.
Các bác sĩ khuyến cáo người dân cần uống thuốc ở tư thế ngồi thẳng, uống với đủ nước, tránh uống thuốc khi đang nằm hoặc quá vội. Khi xuất hiện các dấu hiệu như ho sặc, khó thở, đau ngực sau ăn uống hoặc uống thuốc, cần đến ngay cơ sở y tế để được thăm khám và xử trí kịp thời.











