Tại Trung tâm Cấp cứu A9, Bệnh viện Bạch Mai, các bác sĩ vừa tiếp nhận nam bệnh nhân 25 tuổi nhập viện trong tình trạng mê man, sốt cao, co giật và không tự chủ tiểu tiện. Trước đó hơn hai tuần, bệnh nhân chỉ có biểu hiện ngạt mũi, sổ mũi, đau đầu nhẹ, đã được kê kháng sinh uống tại nhà.
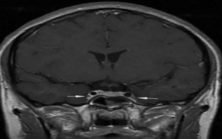
Kết quả chụp cộng hưởng từ sọ não cho thấy phù nề lan tỏa – dấu hiệu điển hình của viêm tắc tĩnh mạch xoang hang, một tình trạng huyết khối nhiễm trùng ở nền sọ. Dù được điều trị tích cực bằng kháng sinh mạnh và thuốc giảm phù não, tiên lượng bệnh nhân vẫn rất nặng do tổn thương lan vào não, màng não và mạch cảnh trong.
BS Nguyễn Hữu Hồng Quân, Trung tâm Cấp cứu A9 cho biết: "Xoang hang là vùng tĩnh mạch nằm sâu trong nền sọ, chứa dây thần kinh và động mạch cảnh. Viêm tắc tại đây có thể gây lồi mắt, mù, liệt mặt hoặc tử vong. Tỷ lệ tử vong dao động 15-30% và khoảng 1/3 người sống sót mang di chứng nặng nề".
Theo bác sĩ, người bệnh cần đến ngay bệnh viện khi có một hoặc nhiều dấu hiệu sau: đau đầu dữ dội, sốt cao không rõ nguyên nhân, sưng đỏ quanh mắt, mắt lồi, nhìn đôi, sụp mi, giảm thị lực hoặc sưng lan nhanh sang mắt còn lại trong 24-48 giờ.
Các bác sĩ khuyến cáo: không nặn mụn vùng mũi - môi trên, vì đây là "tam giác nguy hiểm" có mạch máu thông trực tiếp với xoang hang; điều trị sớm viêm xoang, viêm răng, áp xe ổ mắt; kiểm soát bệnh nền như tiểu đường hoặc suy giảm miễn dịch.
"Căn bệnh này không ồn ào nhưng cực kỳ tàn khốc. Một cơn đau đầu hay nốt mụn nhỏ đôi khi lại là tín hiệu của cuộc đua sinh tử. Đến bệnh viện sớm là cách duy nhất để giữ lại mạng sống", bác sĩ Quân nhấn mạnh.











