Bệnh viện Đa khoa Hà Đông (Hà Nội) vừa tiếp nhận và điều trị thành công một trường hợp chấn thương sọ não nặng do tai nạn giao thông, với tổn thương máu tụ ngoài màng cứng cấp tính - tình trạng cấp cứu ngoại khoa tối khẩn.
Bệnh nhi N.V.A.T. (14 tuổi) nhập viện trong tình trạng đau đầu dữ dội, giảm trí nhớ tạm thời, ý thức giảm dần, Glasgow 13 điểm. Vùng đỉnh trái sưng nề, có chảy máu.
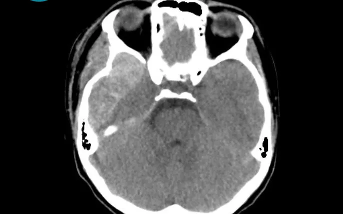
Kết quả chụp CT sọ não ghi nhận khối máu tụ ngoài màng cứng vùng thái dương - đỉnh trái kích thước lớn (78x16x82 mm), kèm tụ khí nội sọ và vỡ xương thái dương.
Xác định nguy cơ đe dọa tính mạng, ekip Ngoại Thần kinh và Gây mê hồi sức đã khẩn trương phẫu thuật mở sọ, lấy khối máu tụ và cầm máu. Ca mổ diễn ra an toàn nhờ sự phối hợp chặt chẽ giữa các chuyên khoa.
Sau điều trị hậu phẫu tích cực, bệnh nhi hồi phục tốt, tỉnh hoàn toàn (Glasgow 15 điểm), không ghi nhận di chứng thần kinh và đã được xuất viện.
Theo các bác sĩ, máu tụ ngoài màng cứng là tình trạng máu tích tụ giữa xương sọ và màng cứng, thường do vỡ động mạch màng não giữa. Khối máu tụ có thể hình thành nhanh, gây chèn ép não cấp tính, dẫn đến thoát vị não và tử vong nếu không được can thiệp kịp thời.
Đáng lưu ý, người bệnh có thể xuất hiện "khoảng tỉnh" sau chấn thương - tức tỉnh táo trở lại trong thời gian ngắn trước khi diễn tiến nặng đột ngột. Đây là dấu hiệu nguy hiểm dễ bị bỏ qua.
Các dấu hiệu cảnh báo gồm: đau đầu tăng dần, nôn vọt, lơ mơ, yếu liệt tay chân, giãn đồng tử một bên hoặc chảy máu, dịch từ tai - mũi.
Chuyên gia khuyến cáo, khi nghi ngờ chấn thương sọ não, cần gọi cấp cứu ngay và giữ bệnh nhân nằm yên, đảm bảo thông thoáng đường thở, xử trí đúng cách trong lúc chờ chuyển đến cơ sở y tế.










