Bệnh viện Đa khoa Khu vực miền núi phía Bắc Quảng Nam (Đà Nẵng) vừa xử trí thành công một trường hợp ung thư gan biến chứng vỡ khối u, gây xuất huyết ổ bụng - tình trạng có nguy cơ tử vong rất cao.
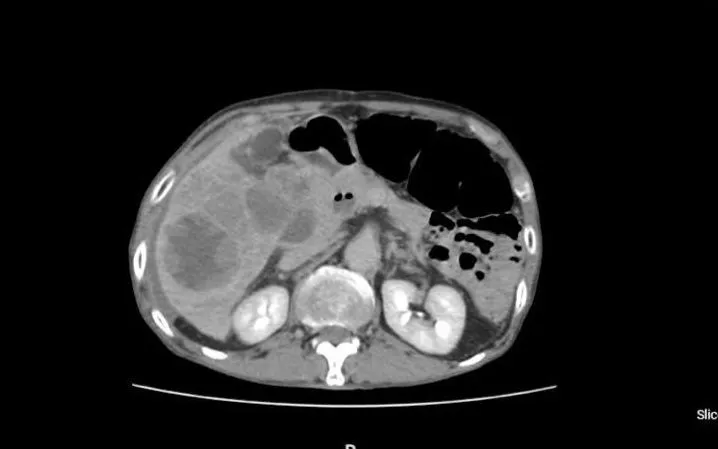
Bệnh nhân nam 77 tuổi, có tiền sử bệnh gan mạn, nhập viện trong tình trạng đau dữ dội vùng hạ sườn phải, mệt lả, tụt huyết áp. Kết quả chụp CT cho thấy nhiều khối u trong gan, trong đó một khối lớn đã bị vỡ, gây chảy máu trong ổ bụng, kèm rối loạn chức năng gan và thiếu máu cấp.
Trước tình trạng nguy kịch và nguy cơ cao nếu phẫu thuật, ekip bác sĩ đã lựa chọn phương pháp nút mạch hóa chất (TACE) để cầm máu và kiểm soát khối u. Dưới sự hướng dẫn của hệ thống chụp mạch, các bác sĩ tiến hành chọn lọc động mạch nuôi khối u và nút mạch bằng vật liệu chuyên dụng kết hợp hóa chất.
Kết quả, khoảng 90% nguồn máu nuôi khối u được kiểm soát, tình trạng chảy máu được khống chế hiệu quả. Sau can thiệp, bệnh nhân qua cơn nguy kịch và đang tiếp tục hồi phục.
Theo các bác sĩ, vỡ khối u gan là biến chứng nặng, thường xảy ra ở giai đoạn tiến triển của bệnh, có thể gây tử vong nhanh chóng nếu không được xử trí kịp thời. Kỹ thuật TACE hiện là giải pháp hiệu quả trong các trường hợp không còn chỉ định phẫu thuật.
Trường hợp này cho thấy vai trò quan trọng của các kỹ thuật can thiệp chuyên sâu tại tuyến y tế khu vực, góp phần nâng cao khả năng cứu sống bệnh nhân ngay tại địa phương.











