Chị Đ.T.N.D. (42 tuổi) được đưa vào Khoa Cấp cứu, Bệnh viện Đa khoa khu vực Thủ Đức (TP Hồ Chí minh) trong tình trạng đau đầu dữ dội kéo dài nhiều ngày, kèm theo cơn co giật toàn thân. Trước đó, bệnh nhân tự uống thuốc giảm đau nhưng không thuyên giảm.
Theo bệnh sử, ban đầu chị chỉ đau đầu thoáng qua vùng đỉnh, đáp ứng với Paracetamol. Tuy nhiên, các cơn đau ngày càng tăng về cường độ và thời gian, kém đáp ứng thuốc. Khi đang khám tại bệnh viện tuyến trước, bệnh nhân bất ngờ co giật và được chuyển lên tuyến trên cấp cứu.
Phát hiện dạng đột quỵ hiếm
Khi thăm khám, các bác sĩ ghi nhận bệnh nhân yếu nhẹ nửa người phải. Đáng chú ý, bệnh nhân có tiền sử sử dụng thuốc tránh thai kết hợp đường uống liên tục trong suốt 10 năm.
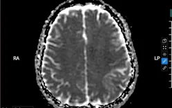
BS.CKI Vũ Văn Thoại, Khoa Nội Thần kinh, nhận định khả năng cao bệnh nhân mắc huyết khối tĩnh mạch nội sọ - một dạng đột quỵ hiếm gặp. Ngay lập tức, bệnh nhân được chỉ định chụp MRI sọ não có tiêm thuốc cản từ.
Kết quả cho thấy bệnh nhân vừa có nhồi máu não, vừa xuất huyết não, kèm hình ảnh huyết khối tĩnh mạch màng não vùng thùy đỉnh trái, xác nhận chẩn đoán ban đầu.
Điều trị kịp thời, bệnh nhân hồi phục tốt
Sau khi xác định nguyên nhân, bệnh nhân được điều trị bằng heparin trọng lượng phân tử thấp nhằm kiểm soát và ngăn ngừa tiến triển huyết khối. Sau 10 ngày, tình trạng ổn định, bệnh nhân được chuyển sang kháng đông đường uống, kết hợp thuốc chống co giật và xuất viện.
Việc phát hiện sớm và xử trí kịp thời đã giúp bệnh nhân tránh được những biến chứng thần kinh nặng nề, có thể đe dọa tính mạng.
Cảnh báo từ bác sĩ
Huyết khối tĩnh mạch nội sọ là bệnh lý hiếm, chiếm khoảng 0,5-1% các ca đột quỵ, thường gặp ở người trẻ, đặc biệt là phụ nữ trong độ tuổi sinh sản. Việc sử dụng thuốc tránh thai đường uống kéo dài được xem là một yếu tố nguy cơ quan trọng do làm tăng đông máu.
Các bác sĩ khuyến cáo phụ nữ không nên tự ý dùng thuốc tránh thai kéo dài mà cần được tư vấn y tế để lựa chọn biện pháp phù hợp. Đồng thời, không được chủ quan với các cơn đau đầu dữ dội, đau tăng dần hoặc kèm theo co giật, yếu liệt, nhìn mờ - đây có thể là dấu hiệu cảnh báo đột quỵ cần cấp cứu khẩn cấp.










