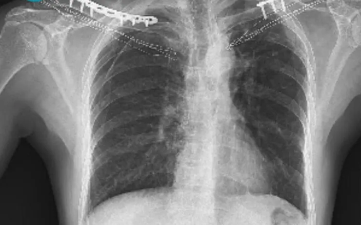
Bệnh nhân bị gãy xương đòn. Ảnh: BVCC
Tại Bệnh viện Đa khoa Hà Đông (Hà Nội), người bệnh được tiếp nhận trong tình trạng đau nhiều vùng vai - đòn hai bên, hạn chế vận động tay, sưng nề và bầm tím rõ. Kết quả chụp X-quang cho thấy gãy xương đòn hai bên - dạng chấn thương ít gặp dù cơ chế tai nạn giao thông khá phổ biến.
Theo BSCKII Trần Quang Toản, Trưởng khoa Chấn thương Chỉnh hình, đây là trường hợp hiếm, trong gần 30 năm hành nghề ông mới gặp ca thứ hai gãy đồng thời hai xương đòn. Điều đáng lưu ý là chính sự quen thuộc của tai nạn giao thông dễ khiến người bệnh chủ quan, trong khi mức độ tổn thương có thể nghiêm trọng hơn biểu hiện ban đầu.
Xương đòn giữ vai trò như "thanh chống" giúp ổn định khung vai và truyền lực từ thân mình ra chi trên. Khi cả hai bên cùng gãy, người bệnh không chỉ đau nhiều mà còn gặp khó khăn rõ rệt trong các sinh hoạt cơ bản như ngồi dậy, thay đổi tư thế hay tự chăm sóc cá nhân.
Sau khi thăm khám toàn diện, loại trừ các tổn thương phối hợp vùng ngực, cột sống cổ, mạch máu và thần kinh, các bác sĩ đã chỉ định phẫu thuật kết hợp xương bằng nẹp vít hai bên. Sau mổ, hai xương đòn được nắn chỉnh tốt, vết mổ ổn định, tạo điều kiện thuận lợi cho giảm đau và phục hồi chức năng sớm.
Các chuyên gia cho biết, với trường hợp gãy xương đòn di lệch nhiều, gãy hai bên hoặc cần phục hồi vận động sớm, phẫu thuật mang lại lợi ích rõ rệt trong việc khôi phục cấu trúc giải phẫu và cải thiện chức năng.
Từ ca bệnh này, bác sĩ khuyến cáo người dân không nên chủ quan sau tai nạn, đặc biệt khi xuất hiện các dấu hiệu như đau vùng vai - đòn, sưng nề, bầm tím, không nâng được tay, đau tăng khi vận động hoặc kèm khó thở, tức ngực. Việc thăm khám sớm giúp phát hiện đầy đủ tổn thương và can thiệp kịp thời, hạn chế biến chứng và rút ngắn thời gian hồi phục.







