Khoa Cấp cứu A9 - Bệnh viện 19-8 (Bộ Công an) tiếp nhận một bệnh nhân nam 70 tuổi, trú tại Hà Nội, nhập viện sau tai nạn ngã tại nhà. Theo người nhà, khoảng một giờ trước nhập viện, bệnh nhân bị ngã không rõ cơ chế, sau đó xuất hiện đau đầu dữ dội, nôn nhiều và bất tỉnh. Bệnh nhân được Trung tâm Cấp cứu 115 đưa tới bệnh viện trong tình trạng nguy kịch.
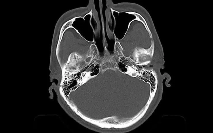
Khi vào Khoa Cấp cứu, bệnh nhân tỉnh nhưng tiếp xúc chậm, sinh hiệu tạm ổn định, có vết thương vùng đỉnh đã được băng ép. Nhận định nguy cơ tổn thương não tiến triển, các bác sĩ chỉ định chụp CT sọ não khẩn cấp. Kết quả cho thấy tụ máu dưới màng cứng hai bán cầu, bên trái dày tới 18 mm; xuất huyết dưới nhện rải rác; đường giữa lệch 15 mm - dấu hiệu chèn ép não nặng, kèm vỡ xương sọ.
Ngay sau đó, tình trạng bệnh nhân diễn biến xấu nhanh, rơi vào hôn mê, điểm Glasgow giảm từ 13 xuống 9. Kíp trực lập tức đặt nội khí quản bảo vệ đường thở, hồi sức tích cực và hội chẩn khẩn với phẫu thuật thần kinh, chuyển thẳng bệnh nhân lên phòng mổ cấp cứu. Toàn bộ quá trình từ khi bệnh nhân hôn mê đến lúc phẫu thuật chưa đầy một giờ.
Theo các bác sĩ, chấn thương sọ não ở người cao tuổi đặc biệt nguy hiểm do não dễ tổn thương, mạch máu giòn, nguy cơ tụ máu tiến triển nhanh dù cú ngã ban đầu có vẻ nhẹ. Các triệu chứng có thể âm thầm nhưng xấu đi trong thời gian ngắn, đe dọa tính mạng nếu chậm cấp cứu.
Các bác sĩ khuyến cáo, khi người cao tuổi bị ngã và xuất hiện các dấu hiệu như lơ mơ, đau đầu tăng dần, nôn, lú lẫn, yếu tay chân hoặc buồn ngủ nhiều, cần đưa ngay đến cơ sở y tế có khả năng cấp cứu chuyên sâu. Tuyệt đối không chủ quan theo dõi tại nhà. Phòng ngừa té ngã bằng cách đảm bảo nhà cửa an toàn, đủ ánh sáng, có tay vịn và hạn chế các nguy cơ trượt ngã là biện pháp quan trọng để bảo vệ sức khỏe người cao tuổi.











