Carcinoma tế bào túi tuyến (Acinic cell carcinoma - ACC) là khối u ác tính hiếm của tuyến nước bọt, chỉ chiếm khoảng 1-3% các u tuyến nước bọt. Trường hợp nguyên phát tại phổi còn hiếm hơn, đến nay y văn thế giới mới ghi nhận khoảng 25 ca.
Bệnh nhân nữ 62 tuổi đến khám tại Bệnh viện Ung Bướu Đà Nẵng vì khối u trực tràng giữa, kết quả sinh thiết xác định carcinoma tuyến.
Trong quá trình chụp cắt lớp vi tính ngực, bụng để đánh giá di căn, các bác sĩ phát hiện một nốt mô mềm lồi vào lòng phế quản thùy dưới phải, gây hẹp nặng phế quản và xơ xẹp nhu mô phổi phía ngoại vi.
Nội soi phế quản cho thấy tổn thương gây hẹp lòng phế quản, bệnh nhân được sinh thiết để chẩn đoán mô bệnh học.
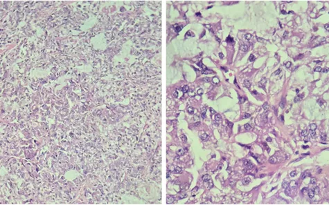
Kết quả cho thấy mô học hoàn toàn khác với tổn thương ở trực tràng, giúp loại trừ khả năng di căn. Sau khi thực hiện thêm hóa mô miễn dịch và khảo sát các tuyến nước bọt không phát hiện tổn thương, các bác sĩ hướng đến chẩn đoán carcinoma tế bào túi tuyến nguyên phát tại phế quản.
Bệnh nhân sau đó được phẫu thuật cắt bỏ khối u. Kết quả mô bệnh học trên mẫu bệnh phẩm sau mổ hoàn toàn phù hợp với chẩn đoán này.
Theo các bác sĩ, đây là loại u hiếm gặp trong lồng ngực, triệu chứng lâm sàng và hình ảnh học không đặc hiệu nên dễ chẩn đoán nhầm hoặc bỏ sót.
Phẫu thuật cắt bỏ là phương pháp điều trị hiệu quả, đa số người bệnh có tiên lượng tốt, tỷ lệ sống sau 5 năm theo y văn đạt từ 90% trở lên. Tuy nhiên, người bệnh vẫn cần được theo dõi lâu dài do nguy cơ tái phát hoặc di căn muộn.









