Nhận biết khối u ác tính từ những dấu hiệu "ù tai" mờ nhạt
Mới đây, ThS.BS Đoàn Thị Nguyệt Ánh (Khoa Tai Mũi Họng, Bệnh viện Đa khoa Hồng Ngọc Yên Ninh) cho biết đơn vị đã tiếp nhận bệnh nhân P.D.M. (54 tuổi) với triệu chứng ù tai một bên và khịt khạc ra đờm lẫn máu.
Qua khai thác bệnh sử, bác sĩ ghi nhận trước đó cô M. từng khám và điều trị tại một cơ sở y tế khác với chẩn đoán viêm mũi xoang và viêm tai giữa. Tuy nhiên, sau khoảng hai tuần điều trị, các triệu chứng hầu như không cải thiện, bệnh nhân vẫn ù tai một bên khiến chất lượng cuộc sống giảm sút. Lo lắng trước tình trạng này, gia đình đã đưa cô đến Bệnh viện Đa khoa Hồng Ngọc Yên Ninh để được thăm khám chuyên sâu và tìm nguyên nhân chính xác.
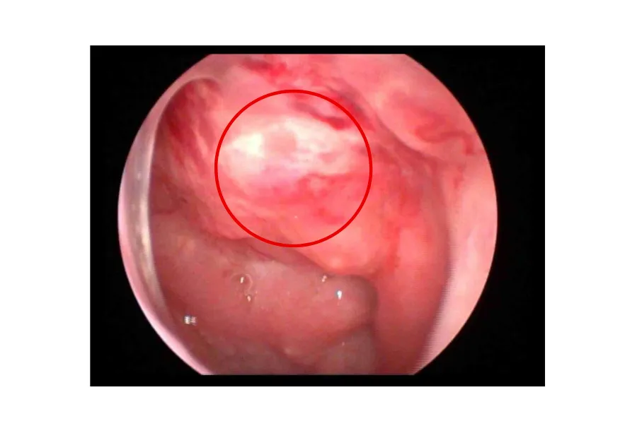
Tại bệnh viện, qua thăm khám lâm sàng và nội soi Tai Mũi Họng, bác sĩ phát hiện một khối u ở vòm mũi họng bên trái cùng bên với tai ù. Hình thái và vị trí khối u có nhiều dấu hiệu bất thường, không giống tổn thương do viêm thông thường, khiến bác sĩ nghi ngờ nhiều đến khả năng tổn thương ác tính vùng vòm mũi họng.

Hình ảnh khối u trong tai trái của cô M
Từ dấu hiệu mờ nhạt này, ThS.BS Đoàn Thị Nguyệt Ánh đã chỉ định sinh thiết khối u để làm xét nghiệm mô bệnh học. Kết quả cho thấy bệnh nhân mắc ung thư biểu mô tế bào vảy kém biệt hóa vùng vòm họng.
Cảnh giác với Ung thư vòm họng - Căn bệnh khó phát hiện với nhiều triệu chứng dễ nhầm lẫn
Ca bệnh của cô M. là một ví dụ điển hình cho việc phát hiện muộn ung thư vòm họng: người bệnh thường chỉ đi khám vì nghi các bệnh lý tai mũi họng thông thường, trong khi khối u lại âm thầm tiến triển và chỉ được phát hiện khi đã có tổn thương rõ ràng. Điều này dẫn đến chậm trễ trong điều trị.

ThS.BS Đoàn Thị Nguyệt Ánh nội soi tai cho bệnh nhân
Theo ThS.BS Đoàn Thị Nguyệt Ánh: "Ung thư vòm họng thường khởi phát với các triệu chứng mượn như ù tai một bên, khịt khạc ra đờm lẫn máu, đau đầu một bên, nghẹt mũi một bên. Chính vì những dấu hiệu này dễ bị nhầm lẫn với các bệnh lý tai mũi họng thông thường nên nhiều trường hợp đã bỏ qua giai đoạn phát hiện sớm, chỉ đến bệnh viện khi triệu chứng nặng khiến việc điều trị trở nên phức tạp và tiên lượng kém hơn."
Lúc này, phác đồ điều trị thường phải kết hợp nhiều phương pháp, thời gian điều trị kéo dài, gây ảnh hưởng đáng kể đến sức khỏe, tinh thần và chất lượng cuộc sống của người bệnh.
Hiện nay, nguyên nhân chính xác gây ung thư vòm họng vẫn chưa được xác định rõ ràng. Trong số các yếu tố nguy cơ, nhiễm virus Epstein–Barr (EBV) được xem là yếu tố hàng đầu. Ngoài ra, yếu tố di truyền, đặc biệt ở những người có người thân từng mắc ung thư vòm, cũng làm tăng đáng kể nguy cơ mắc bệnh. Bên cạnh đó, các thói quen không lành mạnh như hút thuốc lá, uống rượu bia thường xuyên hoặc tiêu thụ nhiều thực phẩm muối, lên men, nướng cháy cũng góp phần làm gia tăng nguy cơ ung thư vòm họng.
Đáng chú ý, những người mắc các bệnh viêm mạn tính vùng vòm mũi họng như viêm mũi xoang hay viêm tai giữa kéo dài cũng có nguy cơ cao hơn, do niêm mạc vòm bị kích thích và tổn thương lâu ngày, dễ dẫn đến các biến đổi ác tính.
"Việc tầm soát sớm các bệnh lý Tai Mũi Họng và thăm khám với bác sĩ chuyên khoa được xem là biện pháp quan trọng và hiệu quả để phát hiện sớm các tổn thương nghi ngờ ung thư vòm họng. Khi triệu chứng như ù tai một bên, khịt khạc ra đờm lẫn máu, đau đầu một bên xuất hiện, người bệnh nên chủ động đến các cơ sở y tế uy tín, chẩn đoán đầy đủ để được kiểm tra, từ đó kịp thời phát hiện và điều trị bệnh ở giai đoạn còn sớm" - bác sĩ Ánh nhắn nhủ.











