Bệnh nhi N.Q.D., 15 tuổi, ngụ xã Cà Ná, Khánh Hòa, từng trải qua một ca phẫu thuật u màng não cách đây khoảng 1,5 năm.
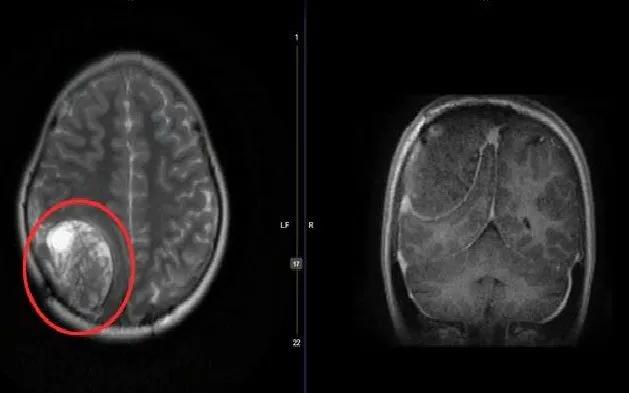
Thời gian gần đây, bệnh nhi xuất hiện triệu chứng đau đầu tái diễn, kèm khối u sưng vùng đầu. Kết quả chụp cộng hưởng từ cho thấy khối u vùng hố chẩm phải tái phát, kích thước khoảng 7,2 × 5 × 5 cm, có dấu hiệu xuất huyết trong u và xâm lấn xoang tĩnh mạch – khiến việc xử trí trở nên đặc biệt khó khăn.
Trước diễn tiến này, ekip Khoa Ngoại thần kinh đã phối hợp cùng nhiều chuyên khoa khác như Gây mê hồi sức, Hồi sức tích cực - Chống độc, Hồi sức Nhi, Huyết học - Truyền máu để xây dựng phương án can thiệp toàn diện.
Sau nhiều giờ phẫu thuật căng thẳng dưới kính vi phẫu, các bác sĩ đã bóc tách hoàn toàn khối u, xử lý vùng xuất huyết và bảo tồn tối đa chức năng thần kinh cho bệnh nhi. Hiện bệnh nhân tỉnh táo, tiếp xúc tốt và đang được chăm sóc hậu phẫu tại khoa Ngoại thần kinh.
ThS.BS.CKII Nguyễn Thanh Hải - Trưởng Khoa Ngoại thần kinh cho biết: "Đây là một ca phẫu thuật khó, đòi hỏi sự phối hợp liên chuyên khoa và kỹ thuật cao. Sau khoảng ba tuần hồi phục, bệnh nhi sẽ tiếp tục được xạ trị tại tuyến trên nhằm giảm nguy cơ tái phát và kiểm soát bệnh hiệu quả".











