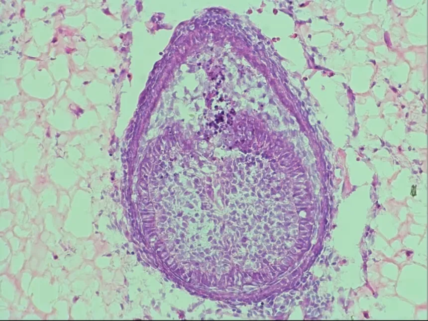
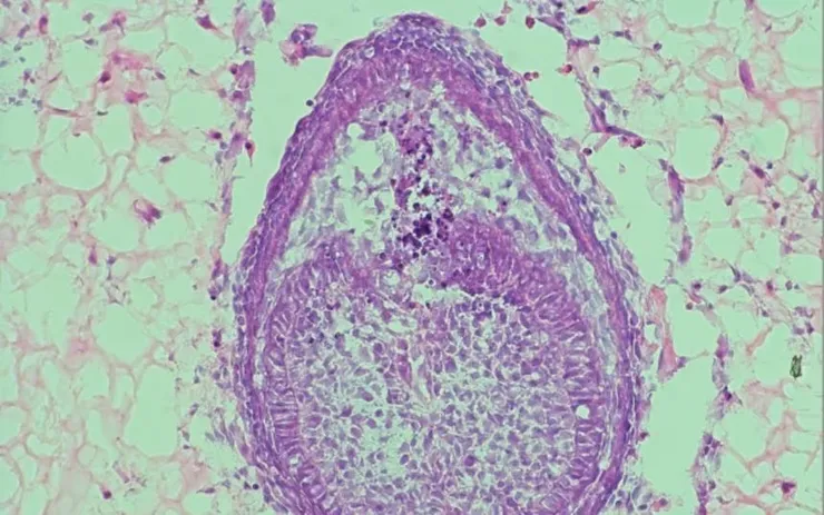
Mẫu lát nhuộm của mô răng được nuôi cấy trong phòng thí nghiệm tại Đại học King’s College London.
Tiến sĩ Ana Angelova Volponi, Giám đốc chương trình sau đại học về nha khoa tái tạo tại Đại học King’s College London (Anh), đã dành gần 2 thập kỷ nghiên cứu răng nuôi cấy trong phòng thí nghiệm. Năm 2013, bà từng là thành viên thuộc nhóm khoa học nuôi được một chiếc răng từ tế bào người và chuột.
Năm nay, bà Volponi tiếp tục dẫn dắt một nghiên cứu mở rộng từ công trình trước đó. Nghiên cứu này đã đạt bước đột phá trong việc phát triển vật liệu nuôi cấy giúp bao bọc răng đang hình thành trong phòng thí nghiệm, từ đó mô phỏng chính xác hơn môi trường sinh trưởng tự nhiên của răng trong khoang miệng. Đây là bước tiến quan trọng hướng tới việc thay thế hoàn toàn tế bào chuột bằng tế bào người và kích thích chúng hình thành răng thật.

Mẫu lát nhuộm của mô răng được nuôi cấy trong phòng thí nghiệm tại Đại học King’s College London. Ảnh: CNN
Bên cạnh đó, nhiều nhóm nghiên cứu khác trên thế giới cũng đang thử nghiệm những hướng tiếp cận khác nhau để nuôi cấy răng.
Tại Viện Nghiên cứu Y học Bệnh viện Kitano ở Osaka (Nhật Bản), nhóm của Giáo sư Katsu Takahashi đang phát triển liệu pháp kháng thể nhằm kích thích mọc răng ở những người thiếu răng hoặc mắc chứng thiếu răng bẩm sinh. Phương pháp này đã bước vào giai đoạn thử nghiệm lâm sàng trên người và có thể ứng dụng vào cuối thập kỷ này.
Cuối năm 2024, nhóm nghiên cứu do bà Pamela Yelick, giảng viên Trường Nha khoa, Đại học Tufts (Mỹ), dẫn đầu cũng đã nuôi cấy thành công răng có cấu trúc giống răng người từ tế bào người và tế bào lợn, trong cơ thể lợn. Khác với con người, lợn có khả năng mọc răng mới nhiều lần trong đời. Mục tiêu cuối cùng của nhóm là kích thích các tế bào trong hàm người tự mọc răng mới, không cần dùng đến tế bào lợn.
Trong khi đó, tại Đại học Washington (Mỹ), nhóm của Giáo sư Hannele Ruohola-Baker, chuyên gia sinh hóa và Phó Giám đốc Viện Tế bào gốc và Y học tái tạo, đã nuôi cấy thành công tế bào gốc tủy răng từ tế bào gốc người, được lấy từ răng khôn hiến tặng.
Bà Ruohola-Baker chia sẻ: “Chúng tôi hướng tới giải mã bản thiết kế phân tử của quá trình hình thành răng người, rồi tái tạo lại tiến trình ấy trong phòng thí nghiệm… Mặc dù việc ứng dụng lâm sàng sẽ cần thêm thời gian, nhưng tốc độ phát triển của lĩnh vực này đang tăng nhanh, mở ra một tương lai, nơi việc phục hồi hoặc thay thế răng sinh học trở thành hiện thực trong vòng một thập kỷ tới”.
Theo CNN













