Khoa Thần kinh - Bệnh viện Hữu nghị đa khoa Nghệ An gần đây tiếp nhận một số trường hợp tổn thương não nghi liên quan đến việc sử dụng thuốc lợi sữa không rõ nguồn gốc. Điển hình là một bệnh nhân nữ 41 tuổi, sau sinh một tháng, nhập viện vì đau đầu, tê bì tay chân, nhìn một thành hai, chóng mặt và mất thăng bằng.
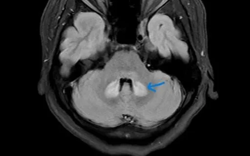
Khai thác bệnh sử cho thấy bệnh nhân có sử dụng sản phẩm lợi sữa trôi nổi trước đó. Kết quả chụp cộng hưởng từ (MRI) phát hiện tổn thương đối xứng tại cầu não, hành não và tiểu não - những vùng quan trọng của hệ thần kinh trung ương. Các bác sĩ nhận định đây là dấu hiệu cảnh báo nguy cơ ngộ độc thần kinh liên quan đến sản phẩm không rõ thành phần.
Hiện nay, nhiều loại thuốc, thực phẩm chức năng hoặc thảo dược "lợi sữa" được quảng cáo là tự nhiên, gia truyền, an toàn tuyệt đối. Tuy nhiên, không ít sản phẩm không nhãn mác, không kiểm định chất lượng, có thể chứa kim loại nặng, corticoid hoặc dược chất tân dược bị pha trộn trái phép.
Các chuyên gia cho biết, một số độc chất có thể gây rối loạn chuyển hóa, tổn thương trực tiếp hệ thần kinh trung ương, dẫn đến phù não, xuất huyết não hoặc tổn thương não không hồi phục.
Dấu hiệu cảnh báo ngộ độc cần đặc biệt lưu ý gồm: đau đầu dữ dội, chóng mặt, buồn nôn nhiều, nhìn đôi, tê yếu tay chân, lơ mơ, rối loạn ý thức hoặc co giật. Khi xuất hiện các biểu hiện này, người bệnh cần đến cơ sở y tế ngay.
Bác sĩ khuyến cáo phụ nữ sau sinh không tự ý dùng thuốc lợi sữa khi chưa có tư vấn chuyên môn, tuyệt đối tránh các sản phẩm không rõ nguồn gốc. Biện pháp tăng tiết sữa an toàn vẫn là cho trẻ bú sớm, bú thường xuyên, ăn uống đủ chất, uống đủ nước và nghỉ ngơi hợp lý.
Khi nghi ngờ có bất thường sau dùng sản phẩm lợi sữa, cần ngừng ngay và mang theo sản phẩm đến cơ sở y tế để hỗ trợ chẩn đoán. Sức khỏe của người mẹ là nền tảng cho sự phát triển an toàn của trẻ nhỏ.











